Você já teve a sensação repentina de que o seu joelho travou ou de que há uma “pedra no sapato” dentro da articulação? Isso pode ser causado por Corpos Livres Intra-articulares. Esses corpos livres são pequenos fragmentos de osso ou cartilagem que se soltam devido a um trauma, uma fratura antiga ou doenças degenerativas como a artrose e a osteocondrite dissecante. Eles ficam flutuando no líquido sinovial e se movem livremente dentro do joelho.
O problema acontece quando um desses fragmentos fica preso entre as superfícies móveis da articulação (o fêmur e a tíbia), agindo como um calço na porta. Isso provoca o bloqueio mecânico imediato: o paciente está andando e, de repente, não consegue esticar ou dobrar o joelho. Além desse travamento doloroso, a presença desses fragmentos soltos causa irritação constante, levando a inchaço, estalos (crepitação) e uma sensação de instabilidade ou falha.



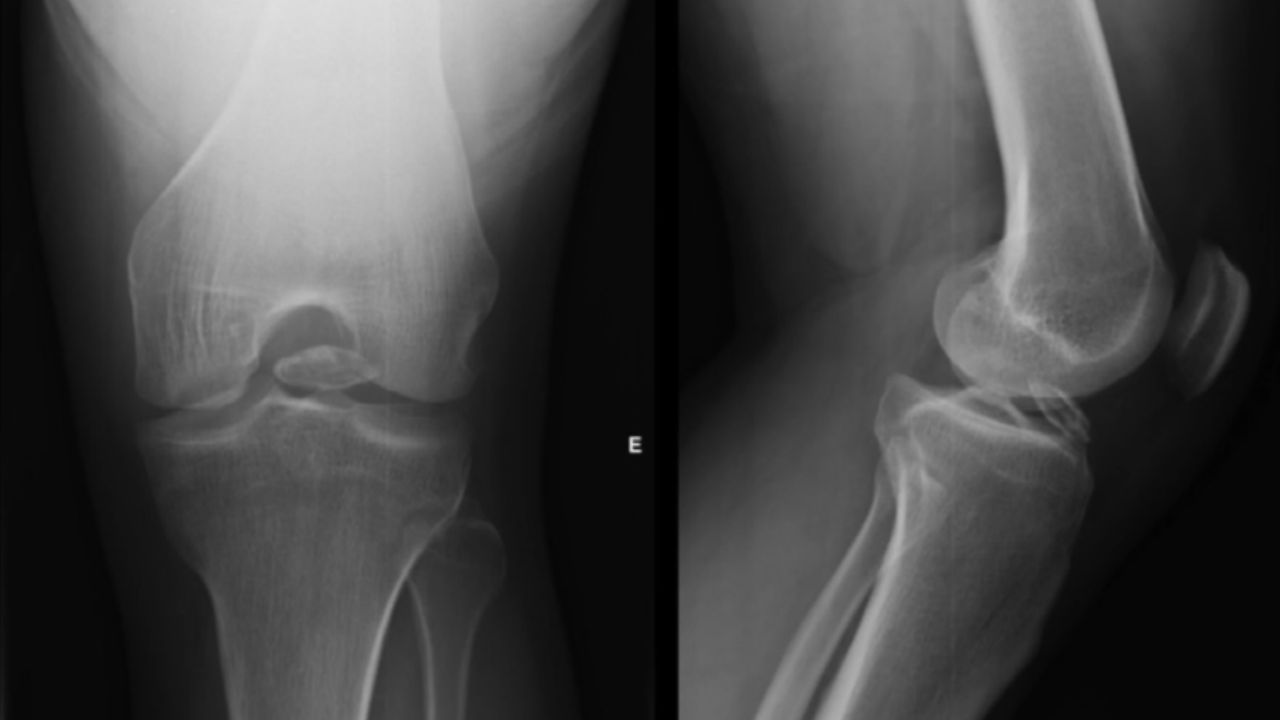
O diagnóstico é confirmado pelo ortopedista através de exames de imagem. O raio-x simples consegue identificar fragmentos ósseos, mas a ressonância magnética é o exame mais completo, pois detecta também pedaços de cartilagem (que não aparecem no raio-x) e mapeia a localização exata dos corpos livres, além de mostrar a lesão de onde eles se soltaram. Identificar a origem é crucial para tratar não apenas o sintoma, mas a causa.
O tratamento definitivo para corpos livres sintomáticos é cirúrgico e minimamente invasivo. Através da artroscopia, o cirurgião insere uma câmera no joelho, localiza e “pesca” esses fragmentos soltos, removendo-os da articulação. Se o fragmento for grande e viável (especialmente em jovens com osteocondrite), é possível tentar fixá-lo de volta ao osso de origem. A remoção alivia imediatamente o travamento e previne que esses fragmentos continuem “lixando” a cartilagem saudável, evitando o avanço da artrose.
Horário de Atendimento:
Segunda a Sexta de 08h às 18h
Endereço:
QNL 30, Conjunto A, Lotes 2, 4 e 6, Taguatinga Norte – Em frente ao Shopping JK